Koyun Alırken Nelere Dikkat Etmeliyim?

Küçükbaş hayvan mı yetiştirmek istiyorsunuz?
Küçükbaş hayvancılık ilk kez yapacak biri olarak aklınızda onlarca soru mu var?
İlk kez küçükbaş hayvancılık yapmak isteyenlerden bana bir çok mail, mesaj ve telefon geliyor. Özellikle gençlerden veya yeni emekli olmuş insanlardan... Aslında biraz kararsız, biraz ürkek; ya da heyecanlı insanlar. Bu sebeple bu işe başlayacaklar için bir üretici olarak onların sordukları sorulara verdiğim cevapları bu yazıma dökmek istedim.
Yaptığım görüşmelerde fark ettiğim hususları şöyle özetleyebilirim: Girişimcilerin bakmak istedikleri ırklardan emin olmadıkları, ırkların yaşadıkları coğrafi bölgelerin özelliklerine uygunluğu, çevrelerindeki meralardan nasıl yararlanacakları, yem ihtiyaçlarını nasıl karşılayabilecekleri, hayvan bakimi ve refahı, üretecekleri et, yün, gübre, süt ve süt ürünlerini nasıl değerlendirebilecekleri, nereye ve nasıl pazarlayacakları hakkında çok az bilgileri olduğudur. Görüştüğüm insanların büyük bir bölümünün yukarıda belirttiğim konulardan önce bir hesap yaptıklarını gördüm. Mesela: 1 koyun yılda iki kuzu verir. Eğer sezon çiftleşme özelliği olan bir tür ise her koyundan 3 veya 4 kuzu alınabilir gibi...
Oysa ki hayvancılık yapmak isteyen girişimcilerin aslında hiç yapmamaları gerektiğini düşündüğüm durum bu hesaplardır. Unutmayın ki koyunlar makine değildir! Tıpkı bizler gibi hasta olabileceklerini, belirli ihtiyaçları ve bakımları olacağını, doğumlarda kayıpların olabileceğini unutmamalıyız.
Hesap yapmak isterseniz; ne kadar yeme ihtiyaç olacağını, vitamin ve mineral ihtiyaçları için harcamaları ve veteriner giderlerinin hesabını yapmalısınız. Bir koyun düşündüğünüz gibi yavru vermeyebilir. Kısır olabilir veya doğum sırasında yavru kayıpları olabilir. Doğum dışında hastalanarak sebebi ile kaybedilebilir.
Bu şekildeki bir düşünce, işe başlar başlamaz bırakmak istemenize, hayal kırıklığına uğramanıza neden olacak ve planlarınızın kâğıt üzerinde iyi; ama pratikte hatalı olduğunu gösterecektir.
İlk kez koyun yetiştirmek istiyorum, tecrübem yok ve ne yapmalıyım?

Resim 1: Halil Karakaya, Resim 2: Stevan Marina Farma Misic
Yapmanız gereken ilk şey; tanıdığınız üreticiler veya yakınınızda çiftlik sahipleri var ise onlardan rica ederek ücretli veya ücretsiz bir süre yanlarında çalışmak, onlara hem yardımcı olup hem de onlardan bilgiler almaktır. Bu sayede hayvanların bakımları, barınak düzeni ve planlaması, hayvan refahı, aşı programları, besleme, yün ve tırnak kesimi, doğum öncesi ve doğum sonrası yapmanız gerekenler, zararlı otlar, meralardan veya çiftlik hayvanlarından kaynaklanabilecek hastalıkları, kene, pire gibi parazitler ile nasıl mücadele edebileceğinizi, hayvanların durumlarını, hastalık belirtilerini anlayabilmenizi ve benzeri konularda tecrübe sahibi olmanıza yardımcı olacak bir girişimde bulunmanızı sağlayacaktır. Bunun dışında mümkün oldukça okumanızı tavsiye ederim.
Kaç adet koyun ile başlamalıyım?
Resim: Ahmet Kaya
Eğer hobi olarak yapmak isterseniz 3 veya 4 adet koyun ile başlamalısınız. Koyunlar sürü halinde yaşamayı severler. Sürüdeyken kendilerini güvende ve mutlu hissederler. At, alpa ve keçi gibi diğer çiftlik hayvanlarına eşlik edebilirler; ama koyunların başka koyunlara ihtiyacı vardır.
Para kazanma amaçlı düşünenler için ise; eğer işçileriniz veya destek olabilecek aile bireyleriniz varsa, veteriner hekimlerden devamlı destek alabilecekseniz, yeterli büyüklükte barınağınız ve hayvanların hareket edebilecekleri arazileriniz varsa koyun sayısının büyüklüğünün bir sorun olmayacağını belirtebiliriz.
Tek başına ve koyun yetiştiriciliğini ilk kez yapacaklara 20 - 30 koyunun iyi bir sayı olacağını düşünüyorum. Bu şekilde sürünüzdeki hayvanları daha iyi anlayacak, takip edebilecek, ihtiyaçlarını paniklemeden yapabilecek ve yönetebileceksiniz. Öğrenme aşaması bitip tecrübeniz artınca sayıları doğal olarak yükseltebilirsiniz. Yine barınaklarınızın refahı ve büyüklüğü sayıları değiştirebilir.
Hangi Tür Koyun Almalıyım?

Hangi koyun türünü satın almak istediğinize karar vermeden önce onları yün, et ve süt için mi; yoksa damızlık için mi yetiştirmek istediğinizi belirlemeniz gerekecektir.
Çok sayıda koyun türü vardır. Her cinsin kendine özgü özellikleri ve nitelikleri vardır.
Bazı ırklar diğerlerinden daha sakin ve naziktir. Bazıları onları yün, süt ve et için yetiştirmenize izin veren mükemmel ve çok amaçlı sürüler yapar. Koyunların bulunduğunuz bölgenin hava ve çevre şartlarına uyumlu olup olmadığı, sıcak ve soğuk havalara dayanıklılığı, meralardan faydalanma özelliği, sürü halinde kontrol edilebilir özelliği, et ve süt verimleri, ikizlik oranları, ayak, tırnak, yün özellikleri ve hastalıklara karşı dayanıklılığı hakkında detaylı bir araştırma yapmalısınız.
Koyunlar için odak noktanızı ve vizyonunuzu belirledikten sonra farklı cinslere ayırt edilebilir bir şekilde bakmaya başlayabilirsiniz. Yerel çiftlikleri ziyaret etmek, size çobanlarla ve yetiştiricilerle yüz yüze konuşma ve çeşitli ırkları görme fırsatı verecektir.
Farmow bilgi merkezinde listelenmiş 300'e yakın yerli ve yabancı ırklarla ilgili yazılarımıza buradaki LİNK’ TEN göz atmanızı tavsiye ederim.
Koyunların bulunduğu barınaklar nasıl olmalıdır?
Resim: Fethullah Kalkan
- En önemlilerinden bir kaçını şöyle özetleyebiliriz;
- Koyunların rahat hareket edebilmesi için yeterli alan bırakılmalıdır. Yeterli havalandırma sağlanmalıdır.
- İçme suyu ve meraya yakın olmalıdır.
- Ağıl içinde yetiştirme şekline bağlı olarak sabit ya da taşınabilir çitlerle bölmeler yapılabilir; gebe koyunlar, kısır koyunlar, koçlar ve hasta hayvanlar için de ayrı bölmeler düzenlenebilir.
- Doğum bölmeleri planlanırken ağılın en sıcak olan, rüzgâr tutmayan yerleri seçilmelidir.
- Bu konuda daha kapsamlı bilgi için lütfen LİNK’e tıklayınız.
Hayvancılık Para Kazandırır mı?

Resim: Gül Aga, Resim: Cihan Yalçınkaya
Yukarıda da belirttiğim gibi; sahip olduğunuz hayvanlara iyi baktığınızda, yem ihtiyaçlarını fabrikalara bağımsız olarak karşılayabildiğinizde, aşılarını zamanında yaptırdığınızda, yem ihtiyaçlarından kesmeyerek doğum öncesi ve doğum sonrası beslemeye dikkat ettiğinizde, kuzu bakımına özen göstererek ürettiğiniz sütü, eti, yünü, gübreyi satabildiğinizde, bunlardan da önemlisi, sürünün yarısı niteliğinde olan Koçunuz verimli ise hayvancılık size her zaman para kazandıracaktır.
Koyun alırken nelere dikkat etmeliyim?
Resim: Alice O'Kane
Koyun, keçi ve sığır alırken dikkat etmeniz gereken en önemli konu, aldığınız hayvanlarının kayıtlarının iyi ve düzenli olarak yapıldığını kontrol etmektir. Bir koyun alırken bakmanız gerekenler:
- Hayvanın Soy Ağacı (Anne - Baba) bilgileri,
- Kardeş sayısı,
- Daha önce doğum yapmış ise her doğumdaki yavru sayısı ve doğan yavruların ağırlıkları, (Doğum yaptığı halde kuzularına iyi bakmayan, kuzuları zayıf doğan ve hızlı gelişmeyen koyunları almayınız.)
- Doğan yavruların cinsiyetleri, yaşayıp yaşamadıklarına dair bilgiler,
- Bugüne kadar uygulanmış ilaçlar ve geçirdiği hastalıklar,
- Kilo ve süt verileri iyi olan, bakımlı görünen, memelerinde körlük olmayan, yaralar olmayan,
- Ayakları güçlü, düzgün, topallamayan, aksamayan, tırnak bakımları yapılmış,
- Gözleri dinç ve parlak,
- Yünleri sağlıklı görünüp parça parça dökülmeler olmayan,
- Dişlerini devamlı olarak gıcırdatmayan ve diş sayılarında eksiklik, kırıklar olmayan,
- Ağız bölgesinde yaralar olmayan hayvanlardan seçmelisiniz.
Bir koyunun performansı genellikle 3 ila 5 yaş arasında zirveye ulaşır. Olgun koyunlar satın alırken, sağlam olduklarından (memeler ve dişler) emin olmak özellikle önemlidir.
Öte yandan kayıtlarında bir koyun 12 ile 14 aylık olmadan hamile bırakılmış ise o koyunları almamalısınız; çünkü 12 aydan önce çiftleştirilen bir koyun hala büyümektedir ve kuzulamada dystocia (kuzulama zorlukları) ve diğer problemleri yaşama olasılıkları daha yüksektir.

Alacağınız hayvanları güvenilir damızlık çiftliklerinden ve hepsini aynı yetiştiriciden almanız çok önemlidir. Farklı üreticilerden alınarak toplanan hayvanlar sizin yeni sürünüze bir çok hastalık bulaşmasına sebep olur ve kayıplar yaşarsınız.
Ayrıca dolandırılmamanız için mutlaka alacağınız hayvanların bulunduğu barınaklardan görerek ve kulak numaralarını Tarim il müdürlüklerinden kontrol ettirdikten sonra alınız bu şekilde çalıntı hayvanlar olmadığından emin olursunuz. Kulak kupesi olmayan koyunları almamaya özen gösteriniz.
Damızlık koyun seçerken en önemli kriter sağlıktır. Sağlıksız koyunlardan başlamak çobanı başarısızlığa mahkum eder. Sağlıklı bir koyun zeki, atik ve uyanıktır ve kendini sürünün geri kalanından ayırmaz. Yaşına, üretim aşamasına ve beslenme düzeyine göre vücut durumu iyi olmalıdır. Topallayan, apsesi olan, gözleri bulanık veya ağızda yaraları olan, solunum semptomları gösteren veya aşırı derecede kötü vücut durumundaki koyunlar üreme için satın alınmamalıdır. Bir çiftlikte birçok koyun bu özellikleri sergiliyorsa, satın almak için başka bir yetiştirici seçiniz.
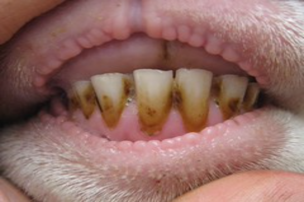
Bir koyunun dişlerine bakarak kaç yaşında olduğunu nasıl anlarım?

Resim 1 : Süt Dişi 4 aylık, Resim 2 : 1 - 1.5 Yaşında
Koyunların yaklaşık yaşı, ön kesici dişleri incelenerek belirlenebilir. Genç kuzuların alt çenelerinde dört çift halinde düzenlenmiş sekiz süt dişi veya geçici kesici dişleri vardır. Üst ön çenede diş yoktur, sadece diş pedi vardır.
Yaklaşık bir yaşında, orta kesici diş çifti dökülür ve yerini kalıcı dişler (kesici dişler) alır.
Bazı ırklar daha hızlı olgunlaşır ve dişleri daha erken yaşta çıkar. Yaklaşık iki yaşında, ikinci çift süt dişinin yerini kalıcı kesici dişler alır. Üç ve dört yaşında, üçüncü ve dördüncü kalıcı diş çifti ortaya çıkar.

Resim 3 : 2 - 2.5 Yaşında, Resim 4 : 3 - 3.5 Yaşında
Dört yaşında koyunların "dolu" veya "sağlam" bir ağzı vardır. Olgun bir koyunda toplam 32 diş vardır.
Koyunlar yaşlandıkça dişler aşınmaya, yayılmaya ve sonunda kopmaya başlayacaktır. Bir koyun dişlerinin bir kısmını kaybettiğinde buna "kırık" ağız denir. Hiç dişi (kesici) kalmadığında buna "sakız" denir. İyi beslenmiş bir koyun, azı dişleri hala iyi durumda olduğu sürece kesici dişler olmadan idare edebilir.


Resim 5 : 4 - 5 Yaşında, Resim 6 : 7 - 8 Yaşında
Ön dişleri olmayan koyunlar, kısa otlatmada daha zor zamanlar geçirirler. Bir koyunun dişlerinin durumu diyetine göre değiştiğinden, koyunun ağzı dolduğunda yaşı doğru bir şekilde tahmin etmek zor olabilir.

Resim 7 : 9 - 10 Yaşında, Resim 8 : 11 - 12 Yaşında
Umarım hayal ettiğiniz, umut ve heyecan ile beklediğiniz küçük de olsa bir sürüye sahip olursunuz. Hem kendi ekonominize hem de ülke ekonomisine katkı sağlayarak verimli, sağlıklı ve kayıtları iyi yapılmış hayvanlar yetiştirirsiniz. Bazen insanlar size negatif tavsiyelerde bulunabilirler. “Yapamazsınız, zarar edersiniz” gibi ifadelere çok aldırış etmeden, okuyarak, deneyerek, tecrübe ederek, araştırarak, küçük bir sürü ile başlayarak, doğru insanlar ile bilgi alışverişinde bulunarak öğrenemeyeceğiniz, yapamayacağınız hiçbir şey yoktur. Kendinize olan güveni ve inancı yeter ki kaybetmeyin.
Sağlıcakla kalın.
Written by
H Cetin KATIRCI
Online ShepherdBreedsMore
IllnessesMore
Forage cropsMore
Патологическая физиология голодания Arina TARAN
Дефицит фосфора (гипофосфатемия) Hipofosfatemi Arina TARAN
Какие бывают кормораздатчики для ферм КРС? Irina Makarova
Кормушки для овец Diana Myakisheva
Питание домашних коз: что едят, виды корма и правила кормления Alina Arslantürk
Важность минералов питании сельскохозяйственных животных Irina Makarova


















